Delhi
08048047901
+919811501995

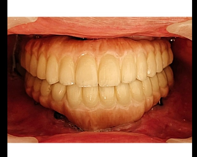
Next-Gen Materials for Dental Implants in Delhi: What Are Your New Teeth Made ...

update image

If you're considering dental implants in Delhi, you’ve already taken the first step toward restoring your smile with a permanent, functional, and natural-looking solution. But did you know that the material used to make the artificial teeth—placed on top of your dental implants—can impact not just how they look, but how long they last?

At Orion Orthodontic & Dental Care Centre, one of Delhi’s most trusted dental implant clinics, we use the latest and most advanced materials for implant-supported crowns and bridges. Here’s what’s trending in the world of implant prosthetics—and why it matters to your long-term oral health.

1. Zirconia Crowns: Strength Meets Beauty

Zirconia (zirconium dioxide) is one of the most popular choices for patients receiving dental implants in Delhi. This high-strength ceramic material offers excellent durability along with a natural-looking finish.

Why it’s ideal for implant crowns:

  • High resistance to fracture and wear

  • Metal-free and biocompatible (safe for sensitive patients)

  • Natural tooth color and translucency

  • Suitable for full-arch bridges and single implants alike

Whether it’s a back molar or a full-jaw rehabilitation, zirconia provides both performance and aesthetics.

2. E.max (Lithium Disilicate): The Front-Tooth Favorite

For patients focused on aesthetics—especially in the front teeth—E.max is an exceptional material. This glass-ceramic delivers the most lifelike appearance and is frequently requested by patients from both Delhi and abroad.

Benefits include:

  • Excellent light transmission and shade matching

  • Smooth surface that resists plaque build-up

  • Great option for single-tooth implants in the smile zone

  • Preferred for cosmetic dental implant restorations

If you want your dental implant to be indistinguishable from your natural teeth, E.max is a top choice.

3. Hybrid Ceramic-Resin Materials for Provisional Implants

During the healing phase after implant placement, patients often require temporary teeth. Materials like hybrid ceramic-resin composites (e.g., Enamic) are perfect for these transitional restorations.

Advantages:

  • Softer bite for healing gums and implants

  • Lightweight and flexible

  • Aesthetic enough for temporary front teeth

  • Easy to adjust or replace

These materials help you maintain function and confidence while your jawbone integrates with the implant.

4. PEEK and PEKK Frameworks: The Future of Full-Arch Implants

For full-mouth implant treatments (like All-on-4 or All-on-6), newer high-performance polymers such as PEEK and PEKK are used to build lightweight internal frameworks under the prosthetic teeth.

Why they work:

  • Extremely lightweight and strong

  • Metal-free, biocompatible, and allergy-safe

  • Ideal for long-span bridges or full-jaw replacements

  • Used along with composite or ceramic layering for aesthetics

These materials are now commonly requested by NRI patients and international visitors opting for full-mouth dental implants in Delhi.

 2025-07-21T07:52:44

Keywords